Эстетическая реставрация улыбки с помощью виниров EMAX
Проблема
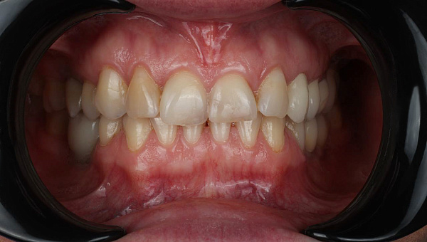
Пациент обратился с жалобами на неэстетичный вид передних зубов: тёмный оттенок, неровности, сколы и старые реставрации, которые не соответствовали современным эстетическим стандартам. Улыбка не выглядела гармоничной, что вызывало психологический дискомфорт.- Кривые зубы
- Неравномерный цвет
Решение
- Эстетический анализ и цифровое моделирование улыбки (Smile Design).
- Минимально инвазивная подготовка зубов.
- Установка ультратонких керамических виниров E.MAX, отличающихся прочностью, долговечностью и высокой эстетикой.
- Подбор естественного цвета и формы для максимальной гармонии с лицом пациента.
Услуги:
Виниры E-max
Срок лечения:
7–10 дней
Ольга Воронец
Стоматолог, Имплантолог, Глав. врач стоматологического отделения
