Трансформация улыбки с помощью виниров E.MAX
Проблема
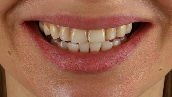
Пациент обратился с эстетическими жалобами: передние зубы имели неоднородный цвет, участки старых пломб и сколы, из-за чего улыбка выглядела неухоженной и не соответствовала ожиданиям пациента. Ещё одной проблемой был тёмный оттенок эмали, который невозможно было устранить только отбеливанием.- Кривые зубы
- Неравномерный цвет
Решение
- Проведена фото- и цифровая диагностика, создан виртуальный проект будущей улыбки (Smile Design).
- Зубы подготовлены максимально щадящим способом — с минимальным вмешательством в здоровые ткани.
- Установлены керамические виниры EMAX, которые отличаются высокой прочностью и естественной прозрачностью.
- Оттенок и форма тщательно подобраны с учётом индивидуальных пропорций лица пациента, чтобы улыбка выглядела естественно.
Услуги:
Виниры E-max
Срок лечения:
7–10 дней
Ольга Воронец
Стоматолог, Имплантолог, Глав. врач стоматологического отделения
